あなたはどの矯正装置で、
最高の笑顔を
輝かせますか?
-
マウスピース矯正
(インビザライン) -
ブラケット矯正
(ホワイトワイヤー有) -
舌側矯正
美しい笑顔と
綺麗なEライン
理想の口元を手に入れられます
Eラインとは、鼻先と顎先のラインのことです。
このラインが獲得できると、バランスの整った顔立ち(フェイスライン)になります。かわいい、キレイ、かっこいい顔立ちを目指します。
当院ではただ綺麗に
歯を並べるだけでなく、
顔立ちの美しさ
も意識した矯正治療を行います
歯並びを治したい! でもこんな気がかりありませんか?
まずは、無料
カウンセリングで
ご相談ください
あなたに合った矯正治療を
矯正専門ドクターがご提案
福岡で矯正歯科をお考えの方は、
無料カウンセリングをご利用ください
安田歯科・矯正歯科が
選ばれているポイント
矯正専門医による 専門性の高い矯正治療
当院で矯正を担当する歯科医師は、福岡の矯正歯科医院として、これまで多くの矯正治療を行ってきた実績があります。日本矯正歯科学会の認定医資格を持ち、日々知識と技術の向上に努めています。
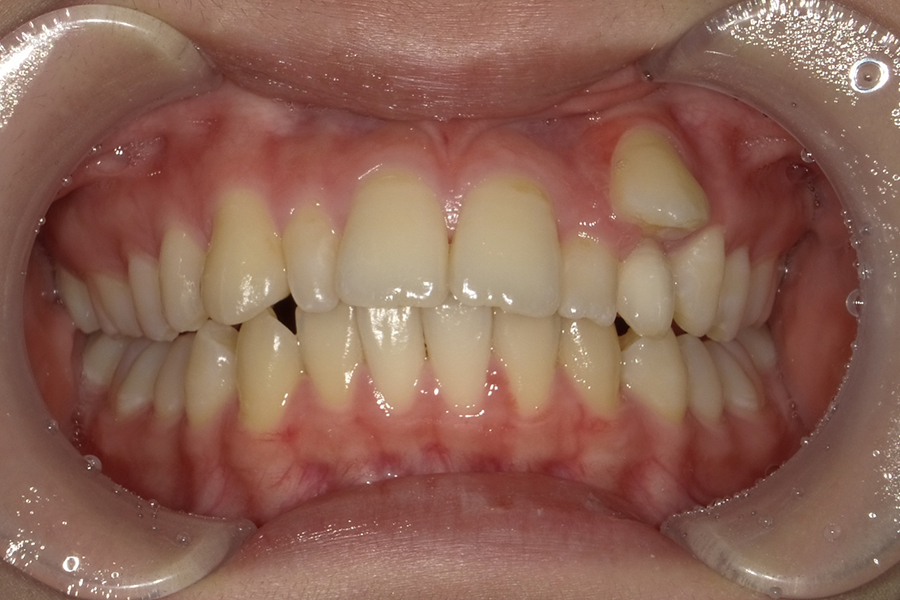
Eライン改善の症例
【主訴】口ゴボが気になる。
上下顎前突。
【治療費】835,000円
【治療期間】2年2ヶ月
【治療内容】
上下左右の4番目と親知らずを抜歯し、マルチブラケット装置とアンカースクリューを使用し、前突部の解消をはかり、エステティックラインを確保した。
【治療後のリスク】
矯正治療による歯の痛みが出ます。アンカースクリューが脱落することがあります。
舌癖に矯正力が加わることによる歯根吸収の可能性があります。矯正治療終了時の保定が舌癖があるため期間が長くなることがあります。
このような歯並びの方は
お気軽にご相談ください
-
デコボコ
-
出っ歯
-
すきっ歯
-
受け口
-
口が閉じない
-
上下顎前突
-
交叉咬合
-
深い噛み合わせ
インビザライン・プラチナ エリートプロバイダー によるマウスピース矯正
福岡で多くの矯正歯科治療を行ってきた当院では、3年連続で「インビザラインプラチナエリートプロバイダー」に認定された歯科医師が在籍。マウスピース矯正に精通しており、日本矯正歯科学会の認定医かつ歯学博士として、専門性の高い治療を提供しています。
年間症例数101症例以上
「インビザラインプロバイダー」とはインビザライン年間症例数により贈られる賞のことであり、上位エリート資格保持者は国内でも数少ない一部の歯科医師のみが保有しております。
圧倒的な症例数で安心な矯正治療をご提供いたします。
症例数
総合歯科医院 だからできる幅広い対応
福岡にある当院は、総合歯科医院として幅広い治療に対応しています。虫歯や歯周病などの一般歯科治療を行ったうえで、矯正歯科治療へスムーズに移行できるのが強みです。
TOTAL
TREATMENT
当院では一つの病院で全ての治療が完結する「トータルトリートメント」に力を入れており、小児治療、矯正治療、外科治療、審美治療、歯周治療、入れ歯治療、インプラント治療など様々な治療に対応ができる歯科医院です。
わかりやすい料金設定
福岡で矯正歯科をご検討中の方にも安心してご相談いただけるよう、当院では初診相談からアフターケアまでの料金をわかりやすくご提示しております。追加費用なども発生しない、明朗な料金設定を心がけています。
わかりやすく、 丁寧な治療説明
福岡で矯正歯科をご検討中の方もご安心ください。お悩みや不安な点をしっかりとお伺いし、患者さま一人ひとりに最適な治療法をご提案いたします。わかりやすく丁寧なカウンセリングを心がけております。
先進機器を豊富に取り揃え 安心で高度な治療を提供
精度の高い矯正治療を行うためには事前の正確な診断が大切です。
当院では、歯科用CTやセファロによる正確な画像診断を行っております。
-
立体・高精度画像
による
的確な診断
CT・セファロ分析
福岡の矯正歯科として高性能な歯科用CT・セファロによる3D画像診断を行うことで、顎骨や埋伏歯の厚みなど、正確な診断が可能になります。
-
精密な3D画像で
シミュレーション
3次元光学スキャナー
従来の歯型採取と比較して患者様の負担を大幅に軽減できます。口腔内をスキャンするだけで簡単に歯型を取ることができます。
カウンセリングのご予約・
各種お問い合わせ
治療可能な歯並び
について
どんな歯並びが治療できるの?
- 自分の歯並びはキレイに矯正できる?
- 前歯だけの部分矯正は対応している?
- ロゴボは治療できる?
どんなケースでも治療可能です!
当院ではマウスピース矯正の他、ワイヤー矯正(表側/裏側)にも対応していますので、どのようなケースでも治療可能です。
当院の
症例実績
当院で行った矯正治療の症例をご紹介します
CASE 01重度のでこぼこ
【主訴】全体的に歯のガタガタが気になる。
上下顎叢生。
【治療費】835,000円
【治療期間】2年2ヶ月
【治療内容】
上下左右の4番目と親知らずを抜歯し、マルチブラケット装置とアンカースクリューを使用し、前突部の解消をはかり、エステティックラインを確保した。またスマイルラインも改善。
【治療後のリスク】矯正治療による歯の痛みが出ます。
CASE 02口ごぼ・でこぼこ
【主訴】左上の八重歯が気になる。
【治療費】835,000円
【治療期間】1年10ヶ月
【治療内容】
上下4番目の歯を抜歯し、左上の前から3番目に乳歯が残っていたのでそれも抜歯した。アンカースクリューを使用しエステティックラインの改善を行っている。
【治療後のリスク】矯正治療による歯の痛みが出ます。
患者さんの
「ニーズ」に応える
選べる矯正治療
当院では豊富な矯正装置をご用意しています。
ご希望に合う適切な装置で、歯並びをよりキレイに
-
マウスピース矯正(インビザライン)
35万円〜
( 税込38.5万円〜 )
-
ブラケット矯正(ホワイトワイヤー有)
75.5万円
( 税込83.05万円 )
-
裏側矯正
120万円
( 税込132万円 )
透明な装置で
気づかれずに
歯並びをキレイに
MOUTH PIECE
マウスピース矯正
( インビザライン )
透明なマウスピースを装着して歯並びをキレイにしていきます。装置が透明なため、治療中も周りの方に気づかれにくいです。また、装置は取り外すことができますので、食事や歯磨きも普段通りに行うことができます。
マウスピース矯正の特徴
- 装置をつけていても目立たない
- 装置によって発音が妨げられない
- 清掃しやすく、衛生的に保ちやすい
- 治療費の軽減と治療時間の短縮ができる
- ストレスフリーで食事を楽しめる
- 金属アレルギーでも治療できる
- 装置による痛みや違和感がほとんどない
- ホワイトニングが同時にできる
ワイヤーによる
矯正で
どのような
歯並びにも対応
BRACKET
ブラケット矯正
歯の表面にブラケットを装着し、そこにワイヤーを通して歯並びをキレイにしていく一般的な矯正治療です。歯にしっかりと装置を固定しますので、歯を大きく動かすような難症例にも対応することができます。
ブラケット矯正の特徴
- ほとんどの歯並びに対応できる
- 予算に応じて装置を選べる
- 治療費を比較的抑えられる
- 目立ちにくい装置も選択可能
「しっかり」と
「目立ちにくい」を
叶える矯正治療
LINGUAL
裏側矯正
通常のブラケット矯正は、歯の表側にブラケットとワイヤーを装着しますが、裏側矯正では歯の裏側に装着しますので、周りから気づかれにくいです。「しっかり」と「目立ちにくい」を両方叶える矯正治療です。
裏側矯正の特徴
- 周りに気づかれずに歯列矯正ができる
- 歯の表面が傷つきにくい
- 唾液が循環しており虫歯になりにくい
- 装置により唇が出っ張ることがない
装置の比較表
| 種類 |
マウスピース矯正
|
ブラケット矯正
|
裏側矯正
|
|---|---|---|---|
| 取り外し | 可 | 不可 | 不可 |
| 金属アレルギー | 心配不要 | 注意が必要 | 注意が必要 |
| 目立ちにくさ | 透明素材で目立ちにくい | ワイヤーが金属で目立ちやすい | 歯の裏側に装置を 装着するのであまり目立たない |
| 装着時の痛み | ほとんどない | 痛みを伴う場合がある | 痛みを伴う場合がある |
| 通院の間隔 | 2~3ヶ月に1回 | 月に1回 | 月に1回 |
| 歯磨きのしやすさ | 通常通り | 磨きにくい | 磨きにくい |
| むし歯リスク | 通常時と変わらない | 磨き残しにより むし歯リスクが高まる |
磨き残しにより むし歯リスクが高まる |
患者様のご希望や歯並びに合わせて
適切な装置をご提案いたします
安心してご相談ください
カウンセリングのご予約・
各種お問い合わせ
このような治療には
要注意
CASE01
歯学博士・認定医を取得していない
矯正治療を行う上で必須のものです。
むしろ、このステータスを取得していないところでの
治療はおすすめしません。
お任せください
当院の矯正担当医は「日本矯正学会認定医」であり「歯学博士」、
「インビザラインプラチナエリートプロバイダ」ドクターです。
CASE02
全体の費用が分かりにくい
知らない間にデンタルローンの支払い方法を
選択している可能性があります。
豊富な支払い方法
当院は一括・分割・デンタルローン支払いに対応しております。
また各種カード・キャッシュレスにも対応しておりますので、
様々な支払い方法を選択することが可能です。
一括・分割支払いは手数料無料ですので、多くの患者様に支持されております。
-
現金
-
クレジットカード
-
銀行振込
-
デンタルローン
CASE03
マウスピース矯正や部分矯正に 治療を限定されてしまう
マウスピース矯正や部分矯正に
治療を限定されてしまう
お口の中の状態により最適な治療は異なります。
マウスピース矯正の一択や部分矯正のみで治療方法が限定されるのは
治療後の後戻りや骨が溶ける原因となりますので十分ご注意ください。
選べる矯正治療
従来型のブラケットでの矯正以外に、
福岡では取り扱いの少ないマウスピース矯正
(インビザライン、インビザラインGO)も取り入れています。
こんな方は
お気軽にご相談ください
- 費用が高い
イメージがあって
中々踏み出せない - 矯正治療を
始めたら
ストレスを
感じそう - 自分に合う
矯正治療を
見つけられるか
不安 - 他院では治療が
難しいと断られた - 痛みが少ない
矯正治療を行いたい - 周りに気づかれず
歯並びを
キレイにしたい - マウスピース矯正も
ブラケット矯正も
両方気になっている - 何度も通院して
治療を行うのが
面倒に感じる
カウンセリングのご予約・
各種お問い合わせ
矯正治療の流れ
-
1
矯正無料相談
まずは無料矯正相談へお越しください。しっかりとした治療を行うために、当院では丁寧なカウンセリングを行っています。歯に関するお悩みやご要望など、詳しくお聞かせください。
-
2
精密検査
お口の状態は患者様によって様々なため、一人ひとりに合わせて精密に検査を行う必要があります。当院で行う歯列矯正は、レントゲン写真なども撮影して、精密な検査を行っています。
-
3
治療計画説明
精密検査の結果を基に、カウンセリングで伺った患者様のご要望を踏まえた治療プランをご提案します。選択できる治療内容ごとに、メリット・デメリット、期間や費用などを一つひとつ丁寧にご説明します。
-
4
治療への同意
ご提案した治療内容に納得いただけましたら、ご同意をお願いします。患者様の同意なく、治療を開始することはございませんので、ご安心ください。「不安がある」、「他の治療を選択したい」など、矯正治療を再検討したい場合は、遠慮なくお申し出ください。
-
5
矯正治療開始
ご同意いただいてから1週間後以降に、矯正治療を開始します。治療内容や必要となる装置の種類によっては、装着に2~4回通院いただく場合もございます。
-
6
矯正治療終了
矯正治療は、早い方でも約1年、長い方だと2年半ほどかかります。矯正治療の効果を十分に高めるためにも、定期治療は欠かせません。通常の矯正装置であれば月に1度、マウスピース矯正なら2~3ヶ月に1度通院していただき、口腔内の状態を丁寧にチェックし、装置の調整や交換などを行います。
-
7
保定期間
矯正装置を取り外すと、歯は元の位置に戻ろうとします。そのため、移動した歯を安定させる、取り外し可能なリテーナーと呼ばれる保定装置を装着していただきます。
-
8
メンテナンス
保定期間が終了しましたら、矯正治療が完了となります。美しく整った歯並びをより良い状態で維持するためにも、当院では定期検診をおすすめしています。
治療費について
| 初回相談 | 無料 |
|---|---|
| 検査・診断料 | 30,000円 (税込33,000円) |
| インビザラインGO | 350,000円 (税込385,000円) |
| インビザライン | 900,000円 (税込990,000円) |
| ブラケット矯正 | 755,000円 (税込830,500円) |
| 【オプション】 ホワイトワイヤー |
50,000円 (税込55,000円) |
| 裏側矯正 | 1,200,000円 (税込1,320,000円) |
| 調整料/1回 | 5,000円 (税込5,500円) |
お支払い方法
当院では、現金/クレジットカード/
デンタルローンでの
お支払いが可能です。
※現金による分割払いのご相談も可能です。
-
現金
-
クレジット
カード -
銀行振込
-
デンタルローン
医療費控除について
医療費控除とは、1月1日~12月31日の1年間に10万円以上の医療費を支払った場合に、一定の金額の所得控除を受けることができる制度です。ご自身はもちろん、生計をともにするご家族が支払った医療費も対象となります。詳しくは国税庁のホームページをご覧ください。
ドクター紹介
院長
安田 紀章
Noriaki Yasuda
院長
安田 紀章
Noriaki Yasuda
お口の中のトラブルを 全て解決する
安田歯科・矯正歯科医院は患者様の不安・要望に寄り添う歯科医院を目指しています。
福岡で少しでもお口のことで気になることがあれば、なんでもご相談ください。
今村 竜太郎
Ryutaro Imamura
今村 竜太郎
Ryutaro Imamura
インビザライン・プラチナ エリートプロバイダー によるマウスピース矯正
小児矯正から部分矯正、全顎矯正まで全ての矯正治療に対応しておりますので、矯正治療でお悩みの方は当院の治療を検討してみてください。
年間症例数101症例以上
「インビザラインプロバイダー」とはインビザライン年間症例数により贈られる賞のことであり、上位エリート資格保持者は国内でも数少ない一部の歯科医師のみが保有しております。
圧倒的な症例数で安心な矯正治療をご提供いたします。
症例数
当院の院内設備
よくあるご質問
- 矯正治療では抜歯しますか?開く
- 矯正治療では、必ずしも抜歯になるとは限りません。患者様の口腔内状況や症状に応じて、治療効果を高めると判断した場合には、抜歯のご提案をいたします。
- 目立たないブラケット矯正はできますか?開く
- 安田歯科・矯正歯科医院のブラケット矯正は前歯の白いブラケットが標準です。見える範囲の装置は白い色のブラケットを使用します。
また、ご希望の方はより目立ちにくい「ホワイトワイヤー」のオプションもご選択いただけます。(+55,000円)
- デンタルローンは最大何分割まで可能ですか?開く
- 最大84回払いが可能なデンタルローンをご用意しております。そのほかにも、現金・銀行振込・クレジットカードでのお支払いが可能ですので、お気軽にご相談ください。


